MediVisuals + High Impact Acquire Jury Impressions – Learn more

Brent Sumner – The Sumner Law Group, LLC

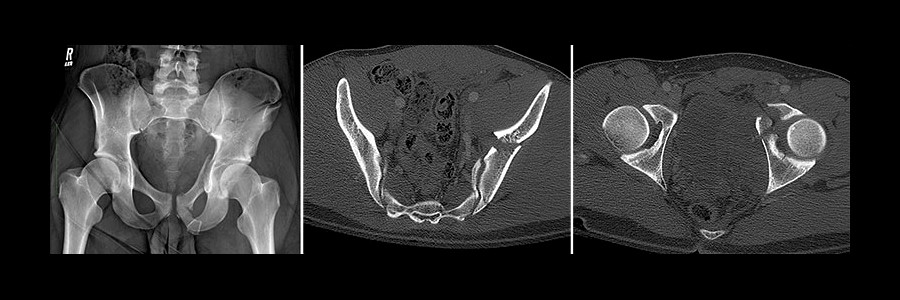
$1.75M Verdict: Colorized Films Highlight Motorcycle Injuries

  • Illustration
  • Color Diagnostics®
  • Legal
  • Personal Injury
  • Case Study
  • +3
Illustrated X-ray showing severe fractures of the pelvis

Deaths on motorcycles occurred 27 times more frequently than any other vehicle in 2014, according to the National Highway Traffic Safety Administration. However, 59 percent of those motorcycle deaths involved other vehicles. The vulnerability of motorcyclists prompted the NHTSA to launch an entire PR campaign aimed at promoting awareness to all motorists to “share the road.”

Work with us

Interested in working with us? To get started choose one of the options below.